Niềng răng là phương pháp nắn chỉnh răng tối ưu nhất hiện nay giúp dịch chuyển răng về đúng vị trí và điều chỉnh khớp cắn về đúng chuẩn nhằm cải thiện ăn nhai và thẩm mỹ. Tuy nhiên, không ít người gặp phải tình trạng niềng răng bị tụt lợi. Vậy nguyên nhân ở đâu và khắc phục như thế nào cho hiệu quả? Cùng Nha khoa Bảo Mai tìm hiểu ngay trong bài viết này nhé!

Tụt lợi là như thế nào?
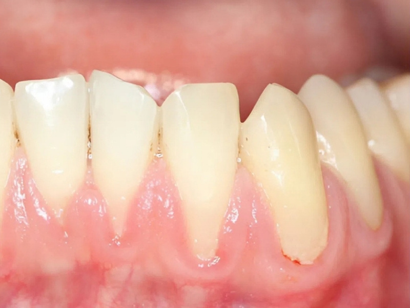
Khá nhiều người gặp phải vấn đề niềng răng bị tụt lợi trong quá trình niềng. Tụt lợi là tình trạng phần lợi bao quanh răng bị co rút, làm lộ phần chân răng. Khi bị tụt lợi, cảm giác chân răng có phần dài hơn bình thường và dễ bị ê buốt khi ăn uống hoặc đánh răng. Trong quá trình chỉnh nha, nếu không chăm sóc đúng cách hoặc có yếu tố tác động không phù hợp, tụt lợi hoàn toàn có thể xảy ra. Nếu không xử lý sớm, tụt lợi có thể dẫn đến viêm nha chu, tiêu xương và ảnh hưởng lâu dài đến sức khỏe răng miệng.
Dấu hiệu nhận biết niềng răng bị tụt lợi
Ở giai đoạn mới, dấu hiệu tụt lợi không quá rõ ràng nên rất khó để nhận thấy được bằng mắt thường mà cần thông qua chụp phim X-Quang. Sau một thời gian không xử lý thì các dấu hiệu dần nghiêm trọng hơn. Việc nhận biết sớm tình trạng niềng răng bị tụt lợi sẽ giúp bạn xử lý kịp thời, tránh biến chứng.
Một số dấu hiệu thường gặp gồm:
- Lợi bị tụt về phía chân răng, làm lộ chân răng nhiều hơn.
- Răng trông dài hơn so với ban đầu.
- Ê buốt khi ăn đồ nóng, lạnh hoặc chua.
- Dễ chảy máu lợi khi đánh răng.
- Hơi thở có mùi khó chịu, nhất là khi mới ngủ dậy.
- Có cảm giác răng yếu hoặc lung lay nhẹ.

Vì sao niềng răng bị tụt lợi?
Có nhiều nguyên nhân dẫn đến tình trạng tụt lợi khi niềng răng, trong đó phần lớn đến từ thói quen chăm sóc răng miệng và kỹ thuật chỉnh nha.
Cao răng mảng bám dày
Việc vệ sinh răng miệng trở nên khó khăn hơn khi bạn niềng răng, đặc biệt là niềng mắc cài do sự cản trở bởi mắc cài, dây cung, dây thun… Các khí cụ này khiến bạn khó làm sạch từng kẽ răng, các mảnh vụn thức ăn bám vào mắc cài. Từ đó hình thành mảng bám, kết hợp với khoáng chất trong nước bọt sẽ tạo thành một lớp cao răng bám chặt vào răng. Đây là môi trường lý tưởng cho vi khuẩn phát triển, gây viêm nướu và dẫn đến niềng răng bị tụt lợi.
Mắc các bệnh lý răng miệng
Một số bệnh lý răng miệng như sâu răng, viêm nha chu, viêm chân răng thì có thể gây nên tình trạng tụt lợi. Vì vậy, nếu trước khi niềng mà bạn gặp phải các bệnh lý này thì bác sĩ sẽ chỉ định điều trị dứt điểm. Và để hạn chế tối đa các bệnh lý này trong quá trình niềng thì bạn cần vệ sinh răng đúng cách.
Đánh răng không đúng cách
Đánh răng quá mạnh tay, sử dụng bàn chải lông cứng, đánh răng sai kỹ thuật khiến răng không được làm sạch đúng cách, chảy máu lợi gây viêm nhiễm và có thể dẫn tới tụt lợi trong quá trình chỉnh nha.

Lực siết mắc cài
Trong chỉnh nha, lực tác động lên răng cần được kiểm soát chính xác. Nếu lực siết quá mạnh, răng sẽ không đủ sức chịu đựng và gây áp lực lên mô nâng đỡ. Điều này có thể làm tụt lợi khi niềng răng hay thậm chí còn làm răng lung lay.
Tay nghề của bác sĩ
Bác sĩ đóng vai trò quan trọng trong quá trình chỉnh nha của khách hàng. Từ việc chẩn đoán, lên phác đồ, kiểm soát lực với các khí cụ… Một số bác sĩ ít kinh nghiệm chuyên môn chưa cao, gắn mắc cài hoặc điều chỉnh dây cung chưa chính xác có thể gây áp lực lên mô lợi. Điều này có thể dẫn tới niềng răng bị tụt lợi.
Vì vậy, lựa chọn nha khoa uy tín, nơi có bác sĩ chuyên môn cao, tay nghề tốt là một trong những yếu tố quyết định thành công của quá trình niềng răng.
Mách bạn cách khắc phục tụt lợi khi niềng răng hiệu quả
Đôi khi các dấu hiệu tụt lợi khi niềng răng không rõ ràng, vì vậy bạn cần tái khám định kỳ theo chỉ định để bác sĩ phát hiện, tìm ra nguyên nhân và đưa ra phương án khắc phục phù hợp.
- Tụt lợi nhẹ: Thay đổi thói quen vệ sinh răng miệng bằng cách dùng bàn chải lông mềm (tốt hơn hết là bàn chải dành riêng cho niềng răng), đánh răng nhẹ nhàng, lấy cao răng định kỳ, điều chỉnh lại lực siết mắc cài…
- Tụt lợi nặng: Có thể cần phẫu thuật ghép mô lợi nhằm phục hồi lại lợi che phủ chân răng hoặc phương pháp phục hồi mô mềm.

Biện pháp phòng ngừa tụt lợi khi niềng răng
Để phòng tránh tối đa hiện tượng niềng răng bị tụt lợi thì bạn cần lưu ý một số điều sau:
- Lựa chọn nha khoa đáng tin cậy: Một nha khoa uy tín, bác sĩ có chuyên môn chỉnh nha bài bản, dày dặn kinh nghiệm như Nha khoa Bảo Mai sẽ có phác đồ rõ ràng, kiểm soát tốt lực siết mắc cài… giúp bạn giảm thiểu nguy cơ niềng răng bị tụt lợi.
- Vệ sinh răng miệng đúng cách: Vệ sinh tốt giúp hạn chế vi khuẩn, ngăn ngừa viêm lợi. Bạn nên dùng bàn chải lông mềm, thao tác nhẹ nhàng, kết hợp với chỉ nha khoa, bàn chải kẽ và súc miệng hàng ngày.
- Tái khám đúng lịch hẹn: Đừng bỏ qua những buổi tái khám cùng bác sĩ chỉnh nha. Đây là lúc bác sĩ kiểm tra lực siết mắc cài, làm sạch chuyên sâu (lấy cao răng nếu cần) và phát hiện sớm những điều bất thường.
- Ăn uống khoa học: Hạn chế đồ cứng, dai, nước ngọt, nước có gas để không làm tổn thương răng và lợi.
Niềng răng bị tụt lợi là tình trạng khá thường gặp và hoàn toàn có thể khắc phục nếu được phát hiện sớm và chăm sóc đúng cách. Điều quan trọng là bạn cần lựa chọn nha khoa uy tín và tuân thủ hướng dẫn của bác sĩ trong suốt quá trình chỉnh nha.
Hy vọng bài viết trên đã cung cấp cho bạn kiến thức hữu ích. Nếu còn vướng mắc nào khác, hãy liên hệ ngay với chúng tôi qua hotline 083 585 1212 – 083 985 1212 hoặc inbox fanpage Nha khoa Bảo Mai để được hỗ trợ nhanh chóng.
*Mọi thông tin trên bài viết chỉ mang tính chất tham khảo
Tư vấn chuyên môn bài viết
Thạc sĩ, Bác sĩ Lưu Thị Thanh Mai
Phòng khám Nha Khoa Bảo Mai

